Adina

Digitalizarea în stomatologia modernă - elementul esențial implementat de Neoclinique

Îți suntem alături la fiecare pas - KPG Neoclinique
Îți suntem alături la fiecare pas - KPG Neoclinique

KPG (Key Patient Guide) oferă consiliere permanentă pentru pacient, dar și îl ghidează pe acesta pe tot parcursul intervențiilor pe care le va efectua.

Vezi detalii
Simulăm digital cum va arăta dantura ta la finalul tratamentului
Simulăm digital cum va arăta dantura ta la finalul tratamentului

Nu vei avea parte de surprize neplăcute. Vei vedea exact ce formă și ce culoare vor avea dinții tăi înainte să începem planul de tratament.

Vezi detalii
Welcome package 2
Welcome package 2

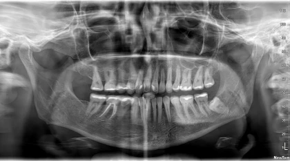
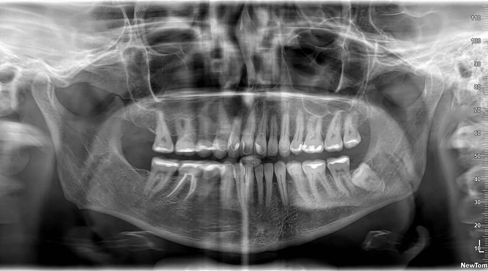
Welcome package 2 Consultație și plan de tratament Test Drive Your Smile Igienizare dentară completă Tomografia computerizată CBCT

Vezi detalii
Primul pas: planul de tratament detaliat
Primul pas: planul de tratament detaliat

Ai parte de un set complet de consultații. Mai mulți specialiști vor evalua multidisciplinar cazul tău. Știi de la început tot ce va urma.

Vezi detalii

Aveți întrebări sau doriți o programare?

Te vom contacta in cel mai scurt timp posibil.